Veneers are very thin pieces of durable tooth-shaped porcelain or composite resins which cover the front surface of aesthetically important teeth. These that are custom-made (for shape and color) shells by an authorized professional dental laboratory. They are bonded onto the natural tooth surface to create a beautiful and attractive smile. If you are searching for veneers near me, book your appointment with our highly skilled team now!
Dental Veneers Houston
Veneers are very thin pieces of durable tooth-shaped porcelain or composite resins which cover the front surface of aesthetically important teeth. These that are custom-made (for shape and color) shells by an authorized professional dental laboratory. They are bonded onto the natural tooth surface to create a beautiful and attractive smile. If you are searching for veneers near me, book your appointment with our highly skilled team now!
Are you interested in getting dental veneers?
Look no further. Edge Dental offers the best dental veneers in Houston.
Reasons for Getting Veneers
Veneers can completely reshape your teeth and smile. They can often be alternatives to crowns and the ideal solution in treating many cosmetic dental conditions for the front teeth. You can benefit from them for the correction of following cosmetic problems:
● Teeth Stains – while most teeth stains can be easily removed with professional teeth whitening procedures, some stains are permanent. In these cases, veneers prove to be an excellent option in masking these stains.
● Crooked or Chipped Teeth – broken and crooked teeth can usually be restored with tooth-colored fillings. However, if you are looking for a more aesthetic and longer lasting option, then you should choose veneers.
● Misaligned Teeth – they can also serve as alternative to braces for the cosmetic restoration of mild cases of tooth misalignment.
● Excessive Teeth Gaps – teeth gaps not only affect your smile, but they can also create difficulties in eating and speech. Veneers can be used a less costly alternative to correct teeth gaps.
● Complete Smile Makeover– not satisfied with your smile? At Edge Dental, we can give you a brand-new smile with veneers.
Reasons for Getting Veneers
Veneers can completely reshape your teeth and smile. They can often be alternatives to crowns and the ideal solution in treating many cosmetic dental conditions for the front teeth. You can benefit from them for the correction of following cosmetic problems:
● Teeth Stains – while most teeth stains can be easily removed with professional teeth whitening procedures, some stains are permanent. In these cases, veneers prove to be an excellent option in masking these stains.
● Crooked or Chipped Teeth – broken and crooked teeth can usually be restored with tooth-colored fillings. However, if you are looking for a more aesthetic and longer lasting option, then you should choose veneers.
● Misaligned Teeth – they can also serve as alternative to braces for the cosmetic restoration of mild cases of tooth misalignment.
● Excessive Teeth Gaps – teeth gaps not only affect your smile, but they can also create difficulties in eating and speech. Veneers can be used a less costly alternative to correct teeth gaps.
● Complete Smile Makeover – not satisfied with your smile? At Edge Dental, we can give you a brand-new smile with veneers.
Are you searching for veneers near me? Edge Dental provides dental veneers treatments just for you!
Call or book your dentist appointment online right now.
Caring for your Veneers
After your visit you will receive care instructions for your veneers teeth. However, with proper care, they can last longer. Here’s how should look after them for preserving your smile.
● Regular Brushing and Flossing – since they are attached to the teeth, there are chances of food impaction and developing of teeth cavities around the natural tooth if you do not look after your oral hygiene. It is imperative that you brush and floss regularly. You should also use a good mouthwash which has been recommended by Dr. Lai.
● Prevent Teeth Stains – you should avoid foods which can stain your teeth, like coffee, tea, tobacco and foods items which leave strong color. Once the cosmetic restorations get stained, they cannot be removed through professional whitening. Rather, the only option is to replace them.
● Regular Dental Visits – regular dental visits go a long way in ensuring optimal oral health. During each visit, we will examine your teeth carefully and any underlying problems will be diagnosed and treated before they can affect your teeth or cosmetic restorations.
Proper brushing, flossing and regular dental visits will aid in enhancing the life of your beautiful veneers.

After your visit you will receive care instructions for your veneers teeth. However, with proper care, they can last longer. Here’s how should look after them for preserving your smile.
● Regular Brushing and Flossing – since they are attached to the teeth, there are chances of food impaction and developing of teeth cavities around the natural tooth if you do not look after your oral hygiene. It is imperative that you brush and floss regularly. You should also use a good mouthwash which has been recommended by Dr. Lai.
● Prevent Teeth Stains – you should avoid foods which can stain your teeth, like coffee, tea, tobacco and foods items which leave strong color. Once the cosmetic restorations get stained, they cannot be removed through professional whitening. Rather, the only option is to replace them.
● Regular Dental Visits – regular dental visits go a long way in ensuring optimal oral health. During each visit, we will examine your teeth carefully and any underlying problems will be diagnosed and treated before they can affect your teeth or cosmetic restorations.
Proper brushing, flossing and regular dental visits will aid in enhancing the life of your beautiful veneers.
Get the smile of your dreams! Speak to our dentist about dental veneers.
Book now.
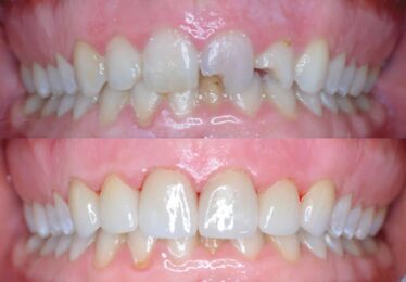
Dental Veneers Before and After
Would you like to get rid of permanent teeth stains? Dental veneers are a great option.
Book your appointment now.
Dental Insurance Coverage

Dental veneers cost varies depending on your specific treatment plan. Like all other cosmetic restorative options, getting veneers is an elective procedure and it costs greater than the regular dental procedures. It is also not covered by most dental insurance companies. You should first consult your insurance provider before you choose this treatment option.
A perfect set of teeth and a beautiful smile await you at Edge Dental. Book an appointment with Dr. Lai today and let us take good care of your teeth and smile.
Dental veneers can be used to correct misaligned teeth, chipped teeth, or tooth gaps.
Schedule your appointment now.
Dental Veneers — FAQs
What Does Veneers Involve?
Getting veneers is a simple and quick procedures. It usually requires two visits to complete the process. Here are the steps involved in the procedure:
● Clinical Examination – during your first visit, our cosmetic dentists will perform a detailed examination of your teeth and ascertain whether you are eligible candidate.
● Tooth Preparation – next, our dentist remove a very small amount of your tooth enamel to create space for the attachment of veneers without affecting your bite. The natural teeth are prepared by lightly buffing and shaping the front surface.
● Impression Making – our dentists will then make an impression of your prepared teeth. These impressions will then be sent to the laboratory, which will take about 2 weeks to fabricate them. During this stage, a shade (color) will also be chosen by you and Dr. Justin Lai.
● Temporary Veneers – while they are being fabricated at the laboratory, Dr. Lai will give you temporary veneers to restore your smile and facial esthetics.
● Try-in – during your next visit, Dr. Lai will first try the them on the prepared teeth to check the shade and fit. Any modifications at stage, if required, will be carried out at the dental chairside.
● Bonding – Once you and Dr. Lai are happy with the veneers, the prepared teeth will be cleansed with special liquids to achieve a durable bond. Bonding cement is then placed between each tooth and prosthesis and a special light is used to harden and the veneer will be bonded to the tooth.
What are Different Types of Veneers?
Veneers cost generally between $1000-2000. Depending upon the materials designed to cover your teeth, they are of two different types:
● Composite Resin Veneer – these are designed from similar materials which are used for directly restoring teeth. They can either be prepared directly at the chairside, or they can be sent to the dental laboratory for fabrication. Composite veneers cost for a single tooth can anywhere between $250 to 1500 per tooth, depending upon the quality of the material used.
● Porcelain Veneers – these veneers possess the natural translucency and beauty of porcelains. They are more durable and longer-lasting than the composite resin veneers.
What are the Benefits of Veneers?
If you’re still unsure why they are best for you, then you should consider the following benefits:
● Improved Smile – everybody wants to have a beautiful and charming smile. With veneers, our dentists can help you achieve your dreams.
● Improved Self-confidence – when you look good, you feel good! A smile restored with veneers will not only make you look beautiful but also improve your self-esteem and productivity at work. with your brand new smile, you will never have to feel embarrassed about smiling in public.
How Long Do Veneers Last?
As with most dental restorations, veneers may someday need replacement; however, they are still very durable and will last many years, giving you a long-lasting, beautiful smile.
How Much Are Veneers in Houston?
The cost of veneers in Houston varies depending on the type of veneer, the number of teeth being treated, and any preparatory dental work needed.
Porcelain veneers, which are more durable and stain-resistant, typically cost more than composite veneers. Additional factors, such as whether teeth need minor reshaping, bonding, or treatment for underlying issues like cavities, can also influence pricing. Insurance coverage for veneers is limited, as they are usually considered a cosmetic procedure, but your plan may offer partial benefits in certain cases.
Because every smile and dental situation is unique, a Houston dentist can provide a personalized consultation to determine the best type of veneer for your needs and give you an accurate estimate.
If you’re considering improving your smile, schedule an appointment with our cosmetic dentist in Houston to review your options and discuss a treatment plan tailored to you.
Where Can I Get Veneers Near Me in Houston?
You can get veneers at dental offices that offer cosmetic dentistry services in Houston.
Veneers are custom-made to fit your teeth, requiring precise evaluation and preparation. A skilled cosmetic dentist in Houston will examine your teeth, discuss your goals, and create veneers that match the shape, size, and color of your natural teeth. Whether you need veneers to correct discoloration, gaps, or chipped teeth, a trusted dentist ensures a comfortable and safe procedure.
Many patients choose a family dentist in Houston who also offers cosmetic treatments, as this allows for continuity of care.
If you want to enhance your smile with veneers, schedule a consultation with our cosmetic dentist in Houston. We’ll assess your teeth, discuss options, and design a plan that gives you a natural, confident smile.
Are Veneers Permanent?
Veneers are considered a long-term cosmetic solution, but they are not entirely permanent.
Porcelain veneers typically last 10–15 years, while composite veneers may last 5–7 years, depending on oral hygiene and lifestyle habits. While durable, veneers can chip or wear over time, so proper care is essential. Once placed, porcelain veneers are irreversible because a small amount of enamel is usually removed for proper bonding.
A Houston dentist can help you maintain your veneers and monitor their condition to ensure longevity. With regular dental visits, good oral hygiene, and avoiding excessive pressure, veneers can provide many years of enhanced smile aesthetics.
If you’re interested in permanent-looking smile improvement, schedule a consultation with our cosmetic dentist in Houston to see if veneers are the right choice for you.
Can You Get Veneers With Cavities?
Before getting veneers, any cavities or decay must be treated first.
Veneers rely on a healthy tooth structure for proper bonding. If cavities are present, your Houston dentist will remove the decay and restore the teeth with fillings or other treatments. Once your teeth are healthy, veneers can be safely placed to improve the appearance of your smile. Skipping this step can compromise the fit, durability, and appearance of the veneers.
Treating cavities first ensures long-lasting results and reduces the risk of complications after veneer placement.
If you have cavities and are considering veneers, schedule an appointment with our cosmetic dentist in Houston. We’ll evaluate your teeth, treat any issues, and create a plan for a safe, beautiful smile.
Does Insurance Cover Veneers?
Most dental insurance plans do not fully cover veneers because they are considered a cosmetic procedure.
Some plans may offer partial benefits if the veneer also addresses a functional issue, such as a broken or worn tooth. Costs vary depending on the type of veneer, the number of teeth being treated, and any additional dental work required. Your Houston dentist can provide a detailed estimate and help you explore payment options or financing plans.
Even without full insurance coverage, many patients find veneers to be a valuable investment in confidence, appearance, and oral health.
If you want to explore veneers and understand your insurance options, schedule a consultation with our cosmetic dentist in Houston for a personalized treatment plan and cost estimate.
How Long Do Porcelain Veneers Last?
Porcelain veneers are designed to be durable and long-lasting, typically lasting 10–15 years with proper care.
Their lifespan depends on factors such as oral hygiene, avoiding excessive pressure, teeth grinding, and regular dental checkups. While they are strong and stain-resistant, veneers can chip or wear down over time if exposed to hard foods or bad habits. Regular visits to a Houston dentist help maintain their fit and appearance.
With consistent care, porcelain veneers provide a natural, confident smile for many years, often making them a preferred choice over composite options.
If you’re looking for a long-lasting cosmetic solution, schedule a consultation with our cosmetic dentist in Houston to see if porcelain veneers are right for your smile.
What Are Composite Veneers?
Composite veneers are a cosmetic dental treatment that uses tooth-colored resin to improve the appearance of teeth.
Unlike porcelain veneers, composite veneers are applied directly to the tooth surface in layers and sculpted by a cosmetic dentist. They are less invasive, often requiring minimal enamel removal, and can usually be completed in one visit. Composite veneers are ideal for correcting minor chips, discoloration, or gaps, but they may not last as long as porcelain veneers and can be more prone to staining or wear.
A family dentist in Houston can evaluate whether composite veneers are suitable for your dental goals and provide guidance on care and maintenance.
If you want a quick, effective way to improve your smile, schedule a consultation with our cosmetic dentist in Houston to explore composite veneer options.
Where to Get Veneers for Chipped Teeth Near Me in Houston?
If you have chipped teeth and want to improve your smile, veneers are a popular solution available in Houston.
A cosmetic dentist in Houston can assess the damage, determine the best type of veneer for strength and appearance, and create a custom fit that blends naturally with your surrounding teeth. Veneers can restore the shape, color, and function of chipped teeth, providing an instant boost in confidence. The procedure is minimally invasive and designed to protect your natural teeth while enhancing aesthetics.
Choosing a trusted family dentist in Houston ensures a safe, comfortable experience with long-lasting results.
If you want to fix chipped teeth and achieve a natural-looking smile, schedule a consultation with our cosmetic dentist in Houston to discuss veneers and your personalized treatment plan.
Dental Veneers Houston
Are you searching for veneers near me, veneers teeth, or dental veneers cost? At Edge Dental, we offer dental veneers services for you! Take the first steps in achieving your dream smile. Call today or book your dental appointment online now.















